캄보디아 의료비지원사업
최고관리자
0
417
2025.06.15 15:36
대한민국은 OCED개발원조위원회 24번째 가입국가로 공적개발원조를 받던 수혜국에서 처음으로 공여국이 되었습니다.
캄보디아는 한국전쟁 당시 참전국은 아니었으나 물자지원국이었습니다.
캄보디아는 1975년~1978년 폴포트정권의 크메르루즈군에 의해 캄보디아 인구의 1/4인 200만명이 학살되고
동남아시아 최극빈국가가 되었습니다.
이제 대한민국이... 사회복지법인 열린가람이 캄보디아의 성장을 지원하려 합니다.
웃는 모습이 예쁜아이.. 하지만 웃을 수 없는 꿘 쏙꿘밀리아(Korn Sokunmealea)를 소개합니다.
![]()
꿘 쏙꿘밀리아는 1남 3녀 중 첫째입니다. 이제 고등학교 1학년이 된 밀리아는 문학교사가 되고 싶은 꿈을 향해 열심히 공부하며
어려운 가정형편에 고생하시는 부모님을 도와 동생들을 돌보는 의젓하고 착한 장녀입니다.
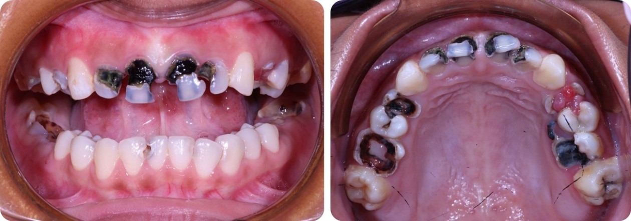
하지만 밀리아는 언제나 마스크를 쓰고 있습니다. 어쩌다 마스크를 벗어야 할 때는 항상 입술을 꾹 다물고 있습니다.
![]()
꾹 다문 입술은 더 이상 웃을 수 없습니다. 어쩌다 웃음이 날 때에도 입을 벌리지 않기 위해 표정이 일그러 집니다.
그 이유는 선천적으로 약해 모두 썩어버린 이빨 때문 입니다.
![]()
꿘 쏙꿘밀리아의 아버지는 건축현장 노동자이시며 어머니는 남의 집 허드렛일을 하시면서 생계를 이어가고 있습니다.
열심히 일해서 번 200$, 5평 남짓한 월세방에 살고 있는 밀리아의 가족에게
6,000$~10,000$나 필요한 밀리아의 치아를 치료하는 것은 꿈만같은 일입니다.
더 걱정인 것은 밀리아의 동생 메이메이도 밀리아처럼 치아가 썩어가고 있습니다.

